

当院の予防歯科診療では、子供からお年寄りの方まで全ての患者の皆さまが対象となります。
診断と治療を歯科医師が、ブラッシングに関してのアドバイスや、セルフケアサポートといった予防歯科において最も重要なパートは主に歯科衛生士が主体となり、互いの専門性を最大限に活かしながら治療を進めて行きます。

予防歯科継続のキーポイントは
そして、
に尽きます。
予防歯科診療についてご相談のある方は、当院歯科衛生士までご相談ください。
CERECの一般的な修復治療の手順
![]()
レントゲンでのむし歯のチェックや噛み合わせなどのチェック
![]()
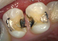
銀歯の除去後(むし歯が広がっています)、むし歯の除去と神経の保護
![]()
セレック上での修復物のデザインとセラミックスの削り出し
![]()
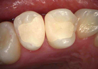
出来上がったセラミックスを試適後、歯にしっかりと接着し終了
以上、1〜2本の歯の治療では約1時間半程度でセラミックスの即日修復が可能となります。
上記のような治療メリットがCEREC治療の特徴です。
TIONシステムを用いたホワイトニングの流れ
![]()
カウンセリング後、術前の歯のクリーニング、色調データの採取を行います。
![]()
クリスタルアイを用いて、術前の歯の色調を測定し診断します。
![]()
当院のメインホワイトニング材「GC TiON」とLED照射器「COSMO BLUE」を用いてご希望に応じ施術を行います。
![]()
クリスタルアイを用いて、術後の歯の色調変化を測定し診断します。
![]()
データを加工しながら、Before&Afterをクライアントの方にご説明し、継続やメインテナンスに関してのアドバイスを行います。
Befor
After