
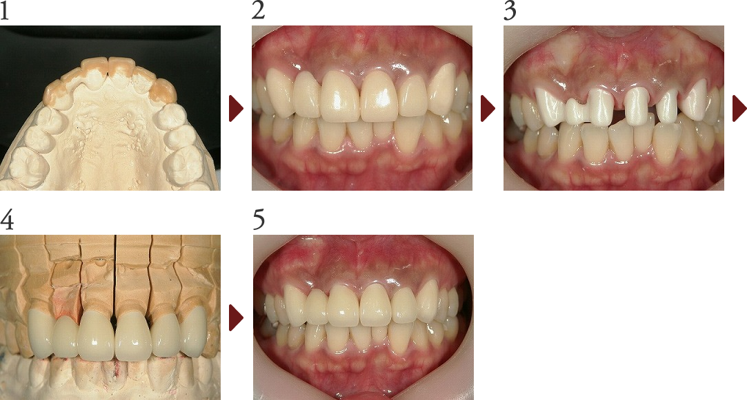
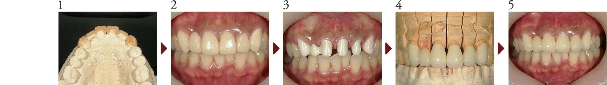
Case.1
審美修復(オールセラミックス修復)
患者さんは以前より気にされていた上顎前歯の審美的改善を目的に、オールセラミックス冠による審美修復を行う事となりました。
患者様、技工担当のテクニシャンの方と相談し、まず模型上にて診断用WAX UPを行い、プロビジョナルレストレーションを作成、口腔内で調整を繰り返し理想形を作り上げていきます。
歯の長さ、幅、傾斜角度、等々ほぼファイナルに近づいた段階で、最終プレパレーションをし、ジルコニアフレームの試適を行いセラミックスを築盛し完成させていきます。
最終的には描いていたイメージ通りに仕上がり、患者様も喜んでおられました。
(技工担当:北見市デンタルプランニング 工藤 利一氏)

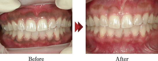
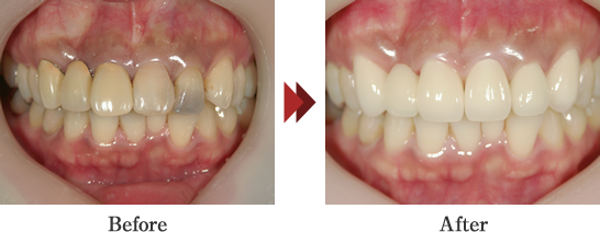
Case.2
前歯審美修復(ラミネートべニア修復 他)
患者さんは上顎前歯の歯並びの不揃い、変色、パッチワーク修復物による審美的なコンプレックスの改善を目的に、オールセラミックスによる審美修復を行う事となりました。
このように、未修復の天然歯と補綴された修復歯が混在するケースでは、歯全体の色調の調和がとれていないとバランスが悪くなり審美的とは言えなくなる為困難を要します。
今回は、オフィスホワイトニング、ラミネートべニア修復、オールセラミックスクラウン修復にて4前歯を修復しました。
また、上顎前歯未修復歯と下顎前歯との色調を調和させるため、クリスタルアイという機器によるデジタルシェードテイキング(機械的な測色)を行い、可及的に色調の調和が取れるよう治療を進めました。最終的には全体的に調和を保った修復治療になったのではないかと考えます。
(技工担当:北見市デンタルプランニング 工藤 利一氏)

Case.3
前歯審美修復(ダイレクトボンディング修復)
患者さんは、前歯の詰め物の材料劣化、並びに歯の変色による審美障害の改善を目的に、コンポジットレジンとい材料を用いたダイレクトボンディングという治療法にて審美修復を行いました。
この治療の最大の利点は、歯への侵襲が非常に少なく、また再修復が容易であるという事です。
治療は高度な技術を要しますが、非常に低侵襲で素晴らしい治療方法の一つと言えます。

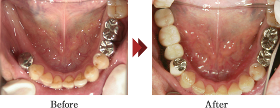
Case.4
臼歯セラミックス修復(CERECによるオールセラミックス修復)
患者さんは口腔内のほとんどを金属による修復物、いわゆる「銀歯」で修復治療をされていました。
歯科用CAD/CAMの「CEREC(セレック)」による治療では、セラミックスの即日修復が可能な為、より不快症状を軽減しながら審美的にも健康的にも優れた治療が出来るようになります。
このケースでは6回の来院にて全ての治療を終了しております。

《 保証制度 》
当院では、上記修復物に関して2年間の無償再治療保証、3年目以降5年目までは、治療時の費用の30〜50%
ご負担による再治療保証制度を設けております。
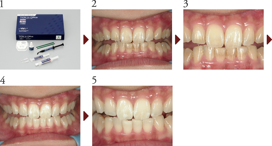
Case.5
審美トリートメント(オフィスホワイトニング)
歯の着色除去を兼ね口腔内の予防メインテナンス処置としてPMTC(プロフェッショナルクリーニング)を行った後に、ブライダルに備えホワイトニングを行ったケースです。
通常通り2回1セットでのオフィスホワイトニングを終えられたクライアントの方は、とても素晴らしい笑顔でおられたのが印象的でした。
当院では歯科医師の直接の指導の下、日本歯科審美学会所属でホワイトニングコーディネーターとして認定された歯科衛生士によりホワイトニングを行っておりますので、歯の色でお悩みがございましたらどうぞご相談ください。
当院でメインに扱うホワイトニングシステムは、日本を代表する歯科メーカーであるGC社のTiON Office & TiON Homeです。
理由は安全で高品質な国産メーカーの物を使用し、安全で快適なホワイトニングを行いたいと考えているからです。
知覚過敏が少ない安全なホワイトニングシステムGC社 TiONホワイトニングで、自然で健康的な白い歯をぜひ体験してみてください!
トライオフィスホワイトニング オフィスホワイトニングのみのお試しコース
TiON Office \24,000(\26,200)
クイックオフィスホワイトニング オフィスホワイトニング2回コース
TiON Office \22,000(\24,200)+TiON \20,000(\22,000)
その他、Beyondシステムなどとの併用など、全3コースがあります。
ナチュラルホワイトニング オフィスとホームでしっかりナチュラルなコース
TiON Office\22,000(\24,200)+Homeのセット \20,000(\22,000)
その他、Beyondシステム、オパールエッセンス併用コースもあります。
*Homeは、マウスピースとホワイトニングジェル2本のセットとなります。
*ホワイトニングジェルのリフィルは1本¥2,200で提供しております。
コンプリテッドホワイトニング オフィス2回とホームで完璧な白さを求めるコース
TiON Office \39,000(\42,900)+Homeのセット \20,000(\22,000)
その他、Beyondシステム、オパールエッセンス併用など全3コースがあります。
*ホームホワイトニングのみの場合は\24,000(\26,200)となります。
Case.6
審美トリートメント(ガムピーリング)
歯茎の変色は主に色素の沈着によるものが多いのですが、その歯茎の色素沈着による審美的な問題を改善したケースです。
一般的にはガムピーリングと呼ばれる処置方法で、ケミカルガムピーリング(薬液を用いたピーリング)とレーザーガムピーリング(レーザーを用いたピーリング)という方法で行われます。
今回のケミカルピーリングでは、麻酔なども使用せずに1〜2回程度の処置でほぼ歯茎の変色が改善されました。
ホワイトニングと同時に行う事も可能です。

Chemical Peeling ¥10,000(¥11,000)
Chemical & Laser Peeling ¥12,000(¥13,200)
*ホワイトニングと併用の場合は ¥8,000(¥8,800)
*2クール目以降は ¥4,000(¥4,400)
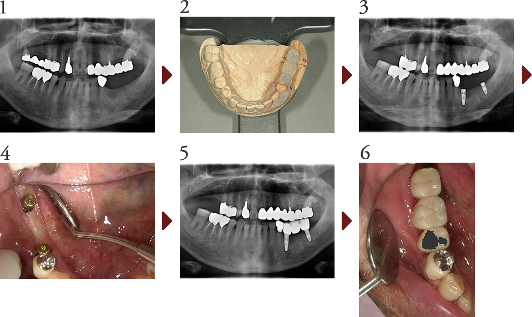
Case.7
欠損修復(インプラント修復)
患者様は全顎的処置を主訴に当院を受診されました。
下顎の欠損部分は義歯の違和感を理由にインプラントによる修復を希望されました。当院ではまず模型上で診断用のWAX UP、ランドマークシステムでCT診断を行い、インプラント埋入ポイント及び上部補綴物形態を決定していきます。
その後インプラント体の埋入、上部構造の作製へと進み、最終的にプロセラチタンアバットメントに上部補綴物を無事装着いたしました。
患者様は「義歯と違い違和感もなく、なんでもしっかり食べられます」と喜んでおられ、最後に歯科衛生士からのメインテナンス指導を熱心に聞いていました。
(技工担当:北見市デンタルプランニング 工藤 利一氏)

上記費用は1本あたりの費用になります。
インプラント手術の診査診断には、シロナ社のSIDEXISとアイキャット社のLandmarkシステムを採用し、インプラントはカムログ社、インプラントダイレクト社、GC社、ノーベルバイオケア社のものを状況に応じ使用しております。 尚、保証期間はインプラントフィクスチャーは5年間、上部構造は3年間となります。
口腔内の唾液検査や痛みの少ない口腔ケア機器を用いた、歯科衛生士による特別な口腔内のメインテナンスプログラムとなります。
所用時間は90分程度頂き、その中で自身の現状の口腔内の検査、セルフケアアドバイス、口腔内メインテナンスを行います。